Traitements « invisibles »
Nous pouvons proposer des différentes solutions thérapeutiques qui répondent à l’attente de patients qui, pour des raisons personnelles ou professionnelles, désirent un traitement orthodontique plus discret.
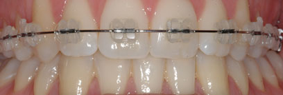
Brackets transparentes : Nous utilisons les brackets Clarity® en céramique. La céramique offre des avantages importants envers des simples brackets transparents en résine : la céramique ne jaunisse pas avec le temps et avec certains types de nourriture (p.ex. curry, café), en plus la céramique est un matériel stable qui ne s’abime pas durant le traitement comme est le cas pour des brackets en résine.
Gouttières amovibles : Nous travaillons avec le système Invisalign®. Le traitement consiste en une série de gouttières transparentes et amovibles que vous changez toutes les deux semaines. Les gouttières sont fabriquées sur mesure pour vos dents.
Brackets linguaux : Le système que nous employons est Incognito®. Les brackets sont collés dans la partie intérieure (lingual) des dents. Grace à la fabrication des brackets sur mesure pour chacune de vos dents, le système Incognito atteint une précision et un confort imbattables.
Drs Christof Joss et Dr Isabella Joss-Vassalli ont suivi les cours de formation et sont les deux certifiés Invisalign® et Incognito®.
Selon la complexité de votre situation dentaire, nous pouvons vous conseiller l’un ou l’autre de nos traitements « invisibles » et discuter avec vous les avantages et les désavantages de chaque système.
Prenez un rendez-vous pour un conseil personnalisé !
